De ce Dental Premier este alegerea pentru cel mai bun implant dentar în București: tehnologii High Tech Dentistry® la zi
Cauți „cel mai bun implant dentar”, „cel mai bun aparat dentar” sau „cele mai bune clinici stomatologice din București”? La Dental Premier, avantajul competitiv vine din investiția constantă în High Tech Dentistry® și dintr-o echipă interdisciplinară cu peste 16 ani de experiență, într-o clinică cu 9 cabinete modern echipate și acreditată ca „Centru de Excelență Dentsply Sirona”.
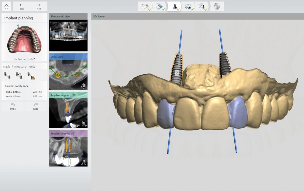
Pentru implanturi dentare (inclusiv cazuri complexe și reabilitări totale), folosim un ecosistem digital complet: Navident pentru ghidare 3D în timp real — crește precizia poziționării implantului și siguranța intervenției; planificare virtuală și/sau ghiduri chirurgicale personalizate; tomografie CBCT cu fascicul conic pentru imagistică detaliată, cu doze reduse de radiații. Împreună, acestea livrează rezultate previzibile pentru cei care caută „cea mai bună clinică pentru implant dentar”.
Fluxul digital este completat de amprentarea intraorală 3D (confort sporit, precizie ridicată) și scanarea facială 3D + arc facial digital Zebris, care corectează ocluzia și aliniază estetica facială cu planul protetic. Digital Smile Design (DSD) permite simularea zâmbetului înainte de tratament, astfel încât deciziile sunt informate și vizuale.
Pentru protetică rapidă și estetică, CEREC CAD/CAM 3D produce coroane/lucrări într-o singură vizită; în endodonție utilizăm microscop Leica pentru canale predictibile; în chirurgie, Piezosurgery face tăieturi ultrasonice atraumatice; laserul EPIC™ Biolase reduce sângerarea și disconfortul; iar PRGF®-Endoret® accelerează vindecarea — beneficii valoroase mai ales după inserarea implanturilor.
În ortodonție, opțiunile de alinere transparente (Spark/Invisalign) reprezintă „cel mai bun aparat dentar” pentru mulți adulți, datorită discreției și controlului digital al mișcărilor dentare. Pentru confortul pacienților anxioși, oferim inhalosedare cu protoxid de azot, iar pentru estetică imediată — albire cu lampa BEYOND® POLUS® Advanced.
Rezultatul? Un parcurs integrat, digital, care susține tratamente rapide, minim invazive și previzibile — criterii esențiale când îți dorești „cel mai bun implant dentar” într-una dintre cele mai bune clinici stomatologice din București.

