Ce sunt mini implanturile ortodontice?
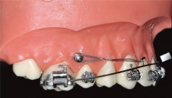
Ce sunt mini implanturile ortodontice ? Ortodontia moderna permite utilizarea mini-implanturilor in vederea obtinerii unui ancoraj biomecanic ferm si a unui tratament eficient. Sunt confectionate din titan , procedurile de inserare si inlaturare fiind simple, nedureroase ,efectuate in anestezie locala.
Durerea ulterioara este aproape insesizabila ( doar o usoara jena ce va disparea dupa primele 2 - 3 zile de la interventie ) iar vindecarea se produce foarte repede. Spre deosebire de implantul dentar care inlocuieste un dinte , implantul ortodontic nu necesita perioada de osteointegrare si este indepartat la sfarsitul tratamentului ortodontic fara riscuri sau complicatii.
Medicul specialist ortodont stabileste cazul in care acestea se utilizeaza ,pozitia de fixare si realizeaza inserarea lor

