Caz clinic: Dinti mobili-solutii de tratament
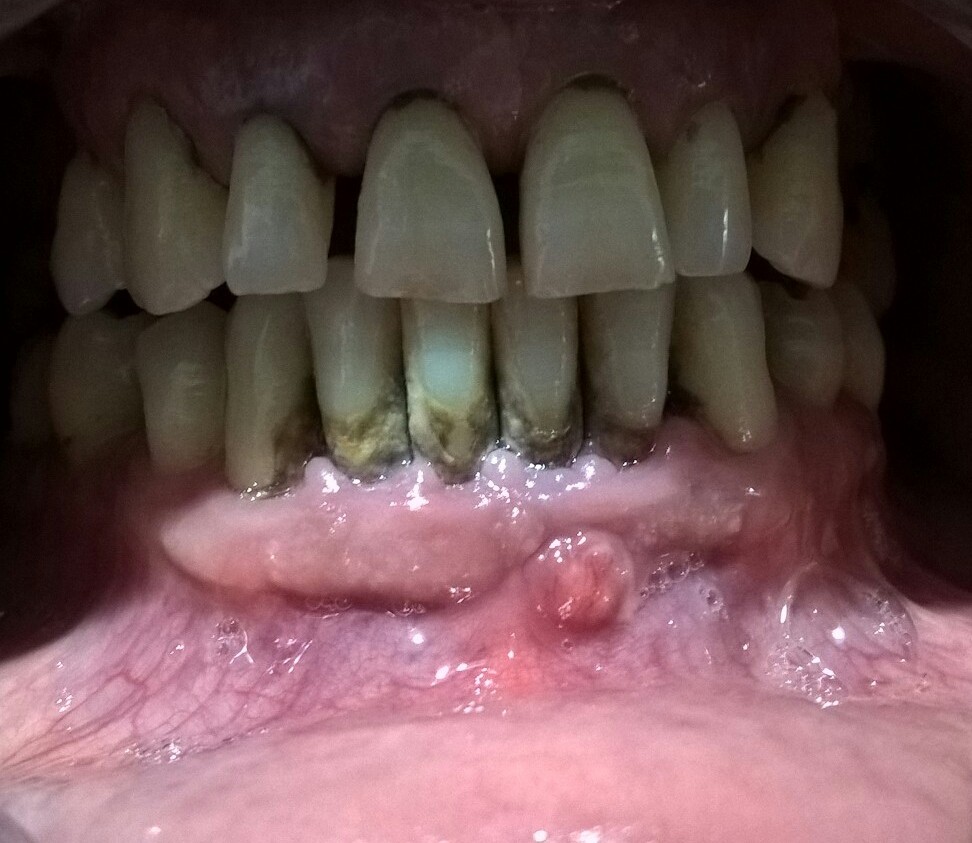
Pacient in varsta de 39 de ani s-a prezentat la Cabinetul stomatologic Jollydent speriat de faptul ca dintii frontali inferiori prezentau un grad mare de mobilitate.
In urma evaluarii clinice si radiologice si de comun acord cu pacientul am hotarat sa facem imobilizare cu banda din fibra de sticla si laserterapie.
Etape de tratament:
1.Igienizare: - indepartarea tartrului supragingival prin detartraj cu ultrasunete si periaj profesional.
2.Imobilizarea dintilor mobili cu banda din fibra de sticla.
3.Tratamentul antimicrobian cu pasta TM.
4.Tratament antiinflamator, antiedematos si biostimulator cu laserul terapeutic.
Dupa cele 6 sedinte de tratament cu laser s-a efectuat indeparatrea tartrului subgingival cu chiurete Gracey.
Pacientul a fost dispensarizat la 3 luni.
