Radiografia in endodontie - cate radiografii sunt necesare, riscuri la expunere
Terapia endodontica în scopul salvarii unor dinti cu leziuni pulpare si periapicale poate fi de lunga durata si se poate efectua fie printr-un tratament conventional, fie printr-un tratament conventional combinat cu mijloace de microchirurgie ajutatoare - apicoectomie sau rezectie apicala.
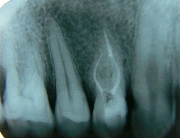
Examenul radiologic , ca metoda complementara de investigatie, este indispensabila în diagnosticul si terapia afectiunilor endodontice, atat la inceputul, cat şi pe parcursul tratamentului endodontic propriu-zis. De asemenea, urmărirea evoluţiei cazului, în timp, nu este posibilă fără examenul radiologic. În acest sens, cea mai uzuala este radiografia retroalveolara care ne furnizeaza informatii precise si in ultimii ani a aparut si CBCT - cone beam computer tomography.
Pentru stabilirea unui diagnostic complet si corect trebuie coroborate atât informatiile obtinute din examenul radiologic , cât si cele furnizate de examenul clinic.
În mod uzual sunt necesare 3-4 radiografii dentare mici (retroalveolare), înainte de tratament, în timpul şi imediat după finalizarea acestuia. Uneori, cazurile mai dificile (numar mare de radacini, instrumente rupte in canale, canale inguste, calcifiate, cai false,etc) pot necesita un număr suplimentar. Aparatura radiologică performantă utilizată în prezent expune pacientul la o doză de radiaţii mult redusă, care nu afectează sănătatea acestuia.

