Parodontoza
Parodontoza pe înțelesul tuturor. Cauzele parodontozei
În cavitatea bucală sănătoasă se găsesc peste 700 de tipuri diferite de bacterii, majoritatea lor inofensive. Tipurile de bacterii care cauzează boala parodontală sunt numite bacterii parodontale. În mod normal, bacteriile parodontale nu cauzează probleme, însă în anumite circumstanțe, pot deveni dăunătoare. Acest lucru se întâmplă atunci când stratul de bacterii și particule de alimente, cunoscut ca placă bacteriană, nu este îndepărtat prin periaj regulat.
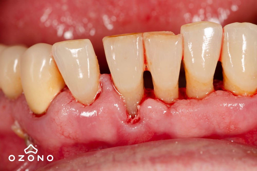
Dacă placa bacteriană este lăsată să se acumuleze, ea formează un substrat favorabil pentru înmulțirea bacteriilor parodontale. În consecință, se formează niște produse secundare dăunătoare care declanșează răspunsul inflamator al organismului, provocând inflamația gingiilor.
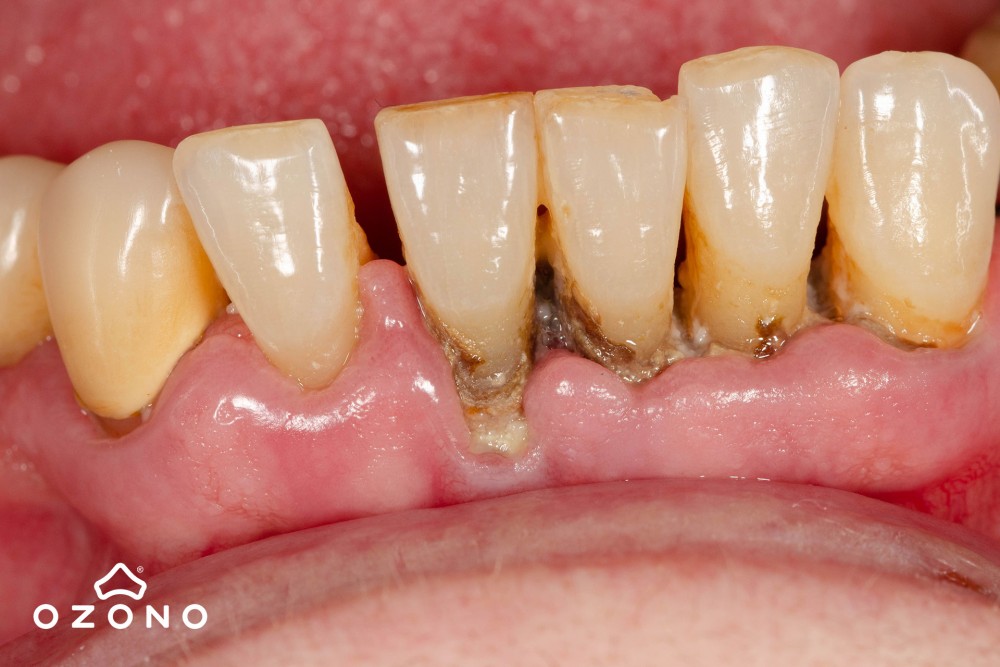
Fără tratament, boala parodontală se poate agrava, pe măsură ce placa bacteriană devine dură, formând tartru, un strat de depuneri dure care nu poate fi îndepărtat prin periaj obișnuit.
De la tartru la căderea dinților nu e decât un pas
1. Pe măsură ce se acumulează tartrul, acesta favorizează depunerea unei cantități mai mari de placă bacteriană în apropiere de rădăcina dinților, iar inflamația devine cronică;
2. În locurile unde gingiile încep să se detașeze de suprafața dinților, se formează niște adâncituri iar bacteriile dăunătoare continuă să se înmulțească în interiorul acestora, după care infecția se răspândește, afectând osul maxilar și structurile din jurul dinților;
3. În cele din urmă, procesul respectiv conduce la căderea dinților.
Eșecul eliminării acestor bacterii este asociat cu progresia bolii și un răspuns slab la tratament. Astfel, agenții patogeni parodontali produc numeroși factori de virulență care facilitează colonizarea zonelor subgingivale și rezistența la mecanismele de apărare ale gazdei, conducând în final la distrugerea țesuturilor de susținere a dinților.
Cum se depistează parodontoza?
Testele pentru depistarea bacteriilor parodontopatogene au la bază tehnica polimerizării în lanț (PCR) și prezintă o specificitate înaltă pentru identificarea bacteriilor parodontopatogene și stabilirea cantității lor relative. Testele sunt, de asemenea, mai sensibile decât cultura bacteriană, deoarece identifică germenii după ADN, indiferent de viabilitatea acestora (bacteriile anaerobe rezistă adesea foarte puțin în cursul transportului către laborator și culturile pot da rezultate fals negative pentru patogenii parodontali).
Tratament parodontoză
Având în vedere natura infecțioasă a parodontitei și a limitelor terapiei mecanice, folosirea antibioticelor este justificată în anumite forme de boală.
Antibioticele pot fi administrate:
- Local: deși prin tratamentul local se elimină riscul reacțiilor adverse sistemice, există dezavantajul că rezervoarele de patogeni nu sunt complet eliminate și se poate produce recolonizarea zonelor tratate;
- Sistemic: antibioticele administrate sistemic penetrează la nivelul pungii parodontale și atacă bacteriile care nu sunt afectate de tratamentul mecanic și de antibioticoterapia locală. În plus, acestea pot suprima și organismele patogene localizate la nivelul limbii și în alte zone ale cavității bucale, asigurând eradicarea infecțiilor și prevenirea recurențelor.
Antibiotic local versus antibiotic sistemic
Decizia de a opta pentru un tratament antibiotic local sau sistemic va fi luată de către medicul stomatolog după:
- evaluarea corectă a beneficiilor: tratarea pacienților cu parodontită refractară la tratamentul convențional;
- reacții adverse: riscul de dezvoltare a unor specii bacteriene rezistente sau de infecții fungice.
Boala parodontală poate fi tratată, mai ales atunci când este tratamentul este început în stadii precoce și realizat de către medicul specialist parodontolog. Te așteptăm în Iași, la OZONO, unde împreună vom alege planul de tratament potrivit pentru tine, să-ți redăm puterea de a zâmbi din nou cu încredere.
Dr. Mugur Cojocaru, Medic Specialist Parodontolog

