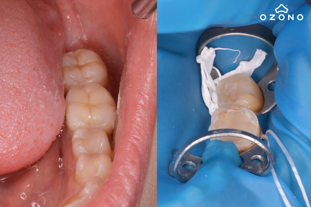
Incrustații dentare
Ce sunt incrustațiile?
Incrustațiile sunt lucrări protetice foarte estetice, ce au ca scop restaurarea dinților care au suferit traumatisme sau care sunt cariați, dar și a dinților care au urmat un tratament endodontic, atât timp cât deteriorarea nu este atât de extinsă încât să fie necesară folosirea unei coroane dentare.
Este o soluție inovatoare și o alternativă mult mai conservatoare în raport cu obturațiile fizionomice sau cu coroanele dentare, deoarece incrustațiile sunt realizate în laborator, pe baza de amprentare, permițând păstrarea structurii dentare sănătoase. Este o restaurare care este cimentată pe dinte, reconstituind structura dintelui pierdut, oferindu-i acestuia anatomia, funcția și estetica inițială.
Tipuri de incrustații dentare
Există 2 tipuri de incrustații dentare, utilizate pentru a repara dinții cariați sau care au suferit traumatisme:
-
Incrustațiile INLAY
Sunt acele restaurări care nu includ cuspizi, adică se încadrează perfect în spațiul intercuspidian, imitând forma dintelui natural. Sunt folosite în special în cazul dinților cariați.
-
Incrustațiile ONLAY
Aceste restaurări acoperă unul sau mai multe cuspizi, dar nu realizează o înlocuire completă a cuspizilor. Scopul este de a păstra periferia dintelui, astfel încât restaurarea (incrustația propriu-zisă) să fie efectuată pe suprafața ocluzală, deși în unele cazuri poate cuprinde și o parte minimă din periferia dintelui. Sunt folosite în cazul dinților care au fost degradați semnificativ prin carii sau fracturi masive.
Diferența dintre incrustația ONLAY și coroana dentară
O coroană dentară este o opțiune protetică fixă pentru dinții care au fost grav degradați. Aceasta acoperă dintele cu totul, inclusiv exteriorul acestuia, de aici și diferența între o incrustație ONLAY și o coroană dentară.
În funcție de traumatismul dintelui sau de ceea ce s-a îndepărtat din structura dintelui natural în urma efectuării tratamentului cariei, medicul va recomanda ce tip de incrustație este potrivită pentru tine, la fel cum te va sfătui dacă să alegi o coroană dentară sau o incrustație ONLAY.
Materiale folosite pentru realizarea incrustațiilor
-
Ceramică: estetică maximă, dar incrustațiile vor fi mai delicate, necesită atenție deosebită din partea pacientului;
-
Compozit: incrustația din compozit este realizată dintr-o singură bucată, în laborator. Este mai rezistentă, prezintă mai puțin risc de fracturi, fisuri, scurgeri și este foarte estetică, deoarece reproduce anatomia originală a dintelui cu mai multă precizie.
-
Disilicat de litiu (E-max): o combinație de ceramică și sticlă, prezintă numeroase avantaje, este mai rezistentă, dar și foarte estetică, fiind varianta recomandată pacienților cu așteptări estetice deosebite.
Principalele avantaje ale incrustațiilor dentare
Există o serie de beneficii ale incrustațiilor dentare, printre care menționăm:
-
Estetică dentară excelentă, pacientul se va bucura de un zâmbet natural și frumos;
-
Reconstruiesc cu precizie anatomia, culoarea și strălucirea originală a dinților, sunt 100% personalizate;
-
Rezistență ridicată la fractură, compresie, tracțiune și torsiune, comparativ cu obturațiile fizionomice (plombele din compozit);
-
Redau funcționalitate dintelui;
-
Un control mai bun al conturului și al contactului proximal al dinților;
-
Strălucire naturală;
-
Mai puțină sensibilitate dentară în urma plasării incrustațiilor, nu necesită perioadă de adaptare;
-
Protejază structura dentară rămasă, întărind dintele;
-
Reproduc perfect anatomia, se reface în mod ideal ocluzia (modul în care dintele angrenează cu dintele de pe arcada opusă), fără să mai apară senzația de ” dinte mai înalt”, evitând astfel dureri sau probleme articulare;
-
Adaptare marginală ridicată;
-
Protecție ridicată pe o perioadă lungă de timp împotriva apariției cariilor.
Când avem nevoie de incrustații dentare?
Atunci când dintele a pierdut o parte semnificativă din structura lui naturală, dar totuși nu este necesară utilizarea unei coroane dentare, recomandăm pacienților incrustațiile în dauna obturațiilor obișnuite, fiind soluția cea mai estetică, durabilă și, după cum am văzut, cu numeroase beneficii pentru pacient. La centrul medical OZONO, vei fi sfătuit cu sinceritate cu privire la alegerea soluțiilor cele mai bune pentru restaurarea dinților, scopul fiind în primul rând păstrarea dinților naturali și redarea unui zâmbet sănătos, estetic și natural. Pentru orice întrebări, te rugăm să completezi formularul de mai jos, iar noi îți vom răspunde cu drag.

