Ortodontia si importanta ei
©
Autor: Uzina de zambete
Advertorial oferit de Uzina de zambete
Cauze
- Ereditatea - mostenirea de la parinti
- Obiceiuri vicioase - suptul degetului, a limbii, a buzei sau a altor obiecte (creion, prosop)
Consecinte
- afectarea aspectului dintilor si a formei fetei (dinti curbati si un zambet neatractiv)
- consecinte atat de ordin functional cat si de ordin estetic (dezvoltare de probleme psihologice si emotionale, lipsa de incredere in sine, anxietate si depresie)
- afectarea capacitatii de functionare a dintilor, gurii si maxilarului (dificultate la masticatie pentru anumite alimente, curatare dinti ingreunata, dinti mai vulnerabili la diferite afectiuni)
Solutie
Corectarea pozitiei dintilor si a maxilarelor cu ajutorul aparatelor dentare.Tipuri aparate dentare
Aparat dentar fix metalic
Aparat dentar fix ceramic
Aparat dentar mobil si functional

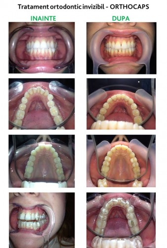
Aparat dentar invizibil – ORTHOCAPS
ORTHOCAPS - este un sistem de gutiere transparente, realizate dintr-un polimer de ultima generatie, aflate intr-o succesiune prestabilita care asigura corectarea dizarmoniei dentare.Acest sistem ortodontic inovativ exercita forte de intensitate extrem de mica pe dintii aflati intr-o pozitie incorecta, determinand repozitionarea corecta a acestora.
Pozitia dintilor tai va fi corectata zi de zi, chiar de la inceput, chiar si in timpul somnului, zambetul tau capatand o noua viata.
Detasarea acestor gutiere se realizeaza in cateva momente, ori de cate ori aveti nevoie, (pentru a mentine igiena bucala la un nivel satisfacator),ulterior fiind reintroduse in cavitatea bucala.
Date contact:www.uzinadezambete.ro
office@uzinadezambete.ro
0232.215.253
0735.510.295
Data actualizare: 13-05-2014 | creare: 13-05-2014 | Vizite: 2399
©
Copyright ROmedic: Articolul se află sub protecția drepturilor de autor. Reproducerea, chiar și parțială, este interzisă!
Alte articole din aceeasi sectiune:
- Mit vs Realitate în Obstetrică-Ginecologie
- Cum să înțelegi prețurile în stomatologie și să faci alegerea potrivită – Ghidul Upgrade Dental
- Cum sunt transportate ovocitele vitrificate și de ce trasabilitatea este atât de importantă
- Problemele emotionale ale copiilor pot fi depasite prin terapia sandplay!
- Blefaroplastie inferioară la Eri Clinic București: poate corecta pungile de grăsime de sub ochi?
- Ce informații medicale pot fi obținute prin analiza ADN
- Consult ginecologic complet la Clinica Profilaxia: ce investigații sunt esențiale
- Ovobank: de ce alegerea unei bănci de ovule sigure și reglementate este esențială în donarea de ovule
- A fi mamă și a fi tată – între iubire, echilibru și devenire
- Când este recomandat să mergi cu copilul la Dr. Ingrid Bălan, pediatru din București?
- Evaluarea psihologica a personalului formator din domeniul sportiv. Aviz psihologic pentru antrenor in Bucuresti
- La ce policlinică din Suceava ne putem programa pentru investigații de gastroenterologie? La Hereditas!
- Legătura dintre somn și calitatea gameților: sfaturi pentru pacienți
- De ce 63% din români nu se spală pe dinți: statistici alarmante și soluții practice pentru sănătatea orală
- Implant dentar la clinica Ridere Suceava: ce ar trebui să știi înainte să începi tratament
- De ce nu s-a implantat embrionul meu de bună calitate?
- Clinica de recuperare Balneum din Cluj te ajută să îți redescoperi echilibrul și mobilitatea
- Prevenția este cheia: de ce o vizită la un doctor dermatolog este o necesitate, nu un moft
- Te gândești la implanturi dentare? Dr. Florin Lupu îți explică tot ce e bine să știi înainte
- Vrei un zâmbet complet fără luni de așteptare? Ideal Dental îți oferă soluția