Sistemul de implant dentar All-On-4/All-On-6 | Dinți ficși în 24 h
©
Autor: OZONO

Advertorial oferit de OZONO
Timpul este tot mai prețios, de aceea atunci când vine vorba de rezolvarea problemelor dentare, pacienții sunt în căutare de soluții rapide care să le redea zâmbetul. Din fericire, acestea chiar există și în doar 24 de ore pacienții care își doresc să zâmbească din nou cu încredere chiar o vor putea face.
Protezarea imediată, o intervenție tot mai solicitată de către pacienți
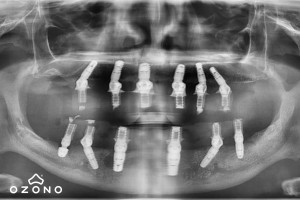
Sistemul de implanturi dentare cu încărcare (protezare) imediată All-On-4/All-On-6 oferă pacienților ocupați o soluție de tratament ce presupune restaurarea rapidă și completă a arcadei superioare sau inferioare, pentru ca aceștia să își poată relua viața socială chiar a doua zi.Ce presupune această intervenție? Inserarea a 6 implanturi dentare la maxilarul superior (deoarece maxilarul are o densitate osoasă scăzută) și 4 implanturi dentare la mandibulă (maxilarul inferior).
Beneficiile pentru pacient?
Acesta nu este nevoit să poarte o proteză mobilă pe durata tratamentului, întrucât acest sistem permite fixarea unei lucrări protetice temporare în aceeaşi zi cu inserarea implanturilor dentare. Astfel, pacientul va putea zâmbi cu încredere chiar de a doua zi.- Un alt beneficiu este costul mai redus comparativ cu alte modalități convenționale de tratament cu implanturi.
- Dacă pacientul nu prezintă suficient os, nu mai este necesară intervenția de adiție de os.
Când se aplică lucrarea definitivă?
La 6-12 luni după inserarea implanturilor dentare pacientul trebuie să revină în clinică pentru aplicarea lucrării dentare definitive.Cu ce se diferențiază All-On-4/All-On-6 de sistemul clasic de implant dentar?
Sistemul clasic este recomandat pentru un implant dentar sau mai multe aflate în zonele care nu sunt vizibile și presupune aplicarea lucrării definitive după o perioadă de 4-6 luni. Acesta este cel mai mare dezavantaj pentru pacienții care doresc o soluție rapidă de recăpătare a zâmbetului.Pe de altă parte, sistemul All-On-4/All-On-6 este indicat pacienților care nu mai au dinți naturali pe arcadă sau dacă aceștia există, sunt foarte bolnavi și vor fi extrași în cadrul intervenției de aplicare a implanturilor precum și situațiilor în care pacientul este deja purtător de proteză mobilă dar nu o poate suporta.
Cât durează recuperarea?
De la caz la caz, recuperarea post intervenție durează între 7 și 14 zile. În urma intervenției, medicul specialist va oferi pacientului indicații pentru o recuperare rapidă, dar și îndrumări privind poziția de somn, alimentația etc.Cum știm dacă putem opta pentru All-On-4/ All-On-6?
Dacă ați pierdut toți/majoritatea dinților din diferite cauze, atunci sunteți apți pentru această soluție de restaurare orală. Bineînțeles, doar în urma consultației și efectuării radiografiilor necesare, se poate spune cu certitudine care este cea mai potrivită soluție pentru cazul dumneavoastră..La clinica OZONO din Iași, intervenția de protezare imediată este realizată în blocul operator propriu, acreditat ATI, de către medici specialiști chirurgi cu competențe în implantologie și proteticieni cu experiență vastă în rezolvarea cazurilor complexe. În plus, venim în sprijinul pacienților cu consultanți dedicați care îți vor oferi informațiile și recomandările de care ai nevoie pentru a lua cea mai bună decizie. Te așteptăm cu drag!
Telefon: 0332.912 ; 0775.332.912
Website: www.ozono.ro
Data actualizare: 07-10-2021 | creare: 07-10-2021 | Vizite: 465
©
Copyright ROmedic: Articolul se află sub protecția drepturilor de autor. Reproducerea, chiar și parțială, este interzisă!
Alte articole din aceeasi sectiune:
- La ce policlinică din Suceava ne putem programa pentru investigații de gastroenterologie? La Hereditas!
- Legătura dintre somn și calitatea gameților: sfaturi pentru pacienți
- De ce 63% din români nu se spală pe dinți: statistici alarmante și soluții practice pentru sănătatea orală
- Implant dentar la clinica Ridere Suceava: ce ar trebui să știi înainte să începi tratament
- De ce nu s-a implantat embrionul meu de bună calitate?
- Clinica de recuperare Balneum din Cluj te ajută să îți redescoperi echilibrul și mobilitatea
- Prevenția este cheia: de ce o vizită la un doctor dermatolog este o necesitate, nu un moft
- Te gândești la implanturi dentare? Dr. Florin Lupu îți explică tot ce e bine să știi înainte
- Vrei un zâmbet complet fără luni de așteptare? Ideal Dental îți oferă soluția
- Cum alegi un medic psihiatru bun? Nu te uita doar la diplome, ci la viziunea sa integrată
- Problema nu este cum se văd. Problema este cum se simt.
- Fața obosită nu este doar rezultatul oboselii
- A deveni mamă mai târziu nu ar trebui să stea in calea visurile tale
- Centrul de tratament și dezintoxicare - recuperarea completă începe la Social Med
- Depresia. Psihodiagnostic. Importanta evaluarii psihologice
- Dr. Eduard Mihoci, ginecolog din Iași, lansează un calculator de sarcină online
- Delta Clinic Dent – echilibru perfect între estetică, sănătate și confort dentar
- Cât de complicat este să îți faci implant dentar. Mituri vs. realitate
- Când anxietatea și atacurile de panică îți pun viața pe pauză (Soluții practice pentru redobândirea echilibrului)
- Programează-te acum pentru implantul de păr într-o clinică din București, pe drfelixhairimplant.ro