Un nou medicament ar putea îmbunătății rata de succes a imunoterapiei pentru cancer
©
Autor: Teodorescu Mihai

Oamenii de știință au arătat că Setanaxib poate contribui la descompunerea barierei celulelor canceroase, sporind astfel eficacitatea imunoterapiei cancerului. Prin descompunerea acestor bariere, va putea fi valorificată capacitatea propriului sistem imunitar de a lupta împotriva cancerului. Medicamentul Setanaxib, deși introdus inițial în studiile clinice pentru tratamentul fibrozei organice, ar putea spori eficiența medicamentelor împotriva cancerului.
Cercetătorii au demonstrat, în studii efectuate pe șoareci, că există efecte benefice, traduse printr-o îmbunătățire a supraviețuirii, atunci când imunoterapia este combinată cu Setanaxib la bolnavii de cancer. Constatările actuale sunt publicate în Cancer Research, revista medicală coordonată de Asociația Americană pentru Cercetarea Cancerului. Descoperirile pot să reprezinte baza pentru modificarea abordării tratamentului cancerului și implicit pentru îmbunătățirea imunoterapiei într-un număr semnificativ de tipuri de cancer.
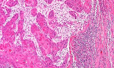
Tratamentul de imunoterapie pentru cancer valorifică puterea sistemului imunitar de a lupta împotriva cancerului, succesul său fiind dependent de cantitatea și capacitatea limfocitelor de a combate celulele maligne. Răspunsul slab sau ineficient la tratament al organismului este cauzat de blocarea limfocitelor la marginea tumorii. Echipele de cercetători au descoperit că fibroblastele asociate cancerului, considerate celule normale ale organismului, sunt deturnate de celulele canceroase și folosite pentru a le proteja de atacul sistemului imunitar. Fibroblastele corupte de celulele canceroase protejează tumorile de atacul limfocitelor și opresc imunoterapia, devenind o barieră pentru celulele maligne.
sursa: Science Daily
foto: Celule canceroase - punctele negre din partea dreaptă reprezintă limfocite oprite de fibroblaste asociate cancerului (University of Southampton)
Data actualizare: 11-03-2020 | creare: 11-03-2020 | Vizite: 812
Bibliografie
Scientists show drug may greatly improve cancer immunotherapy success, link: https://www.sciencedaily.com/releases/2020/03/200302113340.htm ©
Copyright ROmedic: Articolul se află sub protecția drepturilor de autor. Reproducerea, chiar și parțială, este interzisă!
Alte articole din aceeași secțiune:
- A fost identificată o moleculă care suprimă tumorile melanomului
- Un compus din steaua de mare cu potențial anticancerigen în cancerul de prostată rezistent la tratament
- Obezitatea încetinește progresul în reducerea deceselor cauzate de cancer
- Câștigul în greutate pe perioada maturității poate crește riscul de cancer
Forumul ROmedic - întrebări și răspunsuri medicale:
Pe forum găsiți peste 500.000 de întrebări și răspunsuri despre boli sau alte subiecte medicale. Aveți o întrebare? Primiți răspunsuri gratuite de la medici.- Implant silicon sani
- Pentru cei cu anxietate si atacuri de panica FOARTE IMPORTANT
- GRUP SUPORT PENTRU TOC 2014
- Histerectomie totala cu anexectomie bilaterala
- Grup de suport pentru TOC-CAP 15
- Roaccutane - pro sau contra
- Care este starea dupa operatie de tiroida?
- Helicobacter pylori
- Medicamente antidepresive?
- Capsula de slabit - mit, realitate sau experiente pe oameni