Glioblastomul este sensibil la feroptoză: o dietă personalizată reprezintă speranță pentru pacienții cu glioblastom
©
Autor: Teodorescu Mihai

Echipa de cercetători a studiat modele animale care au primit diete personalizate cu conținut scăzut de cisteină și metionină, doi aminoacizi esențiali pentru dezvoltarea și supraviețuirea celulelor tumorale. Potrivit descoperirilor, celulele de glioblastom erau mult mai predispuse să moară prin ferroptoză, iar medicamentele lor de chimioterapie erau mult mai eficiente în inițierea morții celulare programate. Descoperirea a permis administrarea de doze mai mici de medicamente, cu efecte mai puternice decât înainte.
Mai mult decât atât, modelele animale care au urmat diete personalizate au avut o îmbunătățire semnificativă a supraviețuirii, ceea ce sugerează că această abordare poate fi eficientă în tratarea glioblastomului la oameni.
O astfel de abordare personalizată a dietei poate fi un pas important în dezvoltarea de terapii mai bune pentru tratarea glioblastomului. Cu toate acestea, este important de menționat că acesta este doar un prim pas și sunt necesare mai multe cercetări pentru a dezvolta o terapie mai completă și eficientă. Cercetătorii sunt optimiști cu privire la potențialul descoperirilor actuale și speră să continue să investigheze abordarea în viitor.
sursa: Science Daily
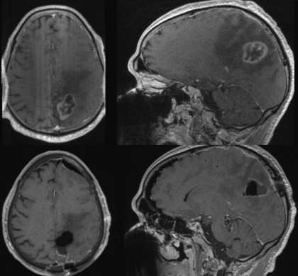
foto: RMN arătând un glioblastom pre- și post-operator. Credit: Dominique Higgins, MD, PhD
Peste 13000 de cabinete medicale își prezintă serviciile pe ROmedic.
Data actualizare: 11-04-2023 | creare: 11-04-2023 | Vizite: 1143
Bibliografie
Researchers leverage cell self-destruction to treat brain tumors, link: https://www.sciencedaily.com/releases/2023/04/230407094232.htm ©
Copyright ROmedic: Articolul se află sub protecția drepturilor de autor. Reproducerea, chiar și parțială, este interzisă!
Alte articole din aceeași secțiune:
- Analiza mersului ca marker diferențial precoce între boala Parkinson și demența cu corpi Lewy
- Deficitul de fagocitoză sinaptică la persoanele cu autism ar putea explica alterările neurodezvoltării
- Studiu dezvăluie îmbătrânirea creierului la pacienții cu celule falciforme
- Un nou studiu leagă scurtarea anumitor etape de somn de modificări ale creierului asociate cu boala Alzheimer
Din Biblioteca medicală vă mai recomandăm:
Din Ghidul de sănătate v-ar putea interesa și:
Forumul ROmedic - întrebări și răspunsuri medicale:
Pe forum găsiți peste 500.000 de întrebări și răspunsuri despre boli sau alte subiecte medicale. Aveți o întrebare? Primiți răspunsuri gratuite de la medici.- Glioblastom - un diagnostic cumplit
- Glioblastom multiform...ce fel de cancer este?
- Glioblastomul!!! tumora secolului...
- Exista sanse de supraviețuire după glioblastom
- Operat in Italia la Roma de o tumoare glioblastom.. boala a redicivat
- Glioblastom multiform in urma unui RMN
- A fost cineva la koln la DR. GOTNER?
- Ajutati-ma! glioblastom grad 4
- Depresia sau altceva