Radiografiile dentare
©
Autor: Airinei Camelia

Radiografiile dentare sunt împărțite în două categorii - intraorale și extraorale, în funcție de poziționarea filmului: în interiorul sau exteriorul gurii.
Radiografiile intraorale
Acestea sunt cele mai obișnuite și redau o imagine detaliată, punând în evidență cariile, rădăcinile dinților, starea osului alveolar și a dezvoltării dinților.
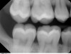
Radiografie cu film mușcat (Bitewing)
Pun în evidență coroanele dinților, arătând în același timp dintele de sus și cel corespunzător de jos. Aceste radiografii sunt folosite pentru urmărirea mușcăturii, a cariilor dintre dinți și a pierderilor de masă osoasă.
Radiografie retroalveolară periapicală
Aceasta radiografie evidențiază dintele în întregime, de la coroană până la rădăcina și osul în care aceasta este ancorată. Cu această radiografie medicul poate observa problemele de sub linia gingiei, precum dinții impactați, abcesele, chisturile și schimbările osoase.Status Dentar
Suma radiografiilor cu film mușcat și periapicale ale fiecărui dinte. Aceste radiografii se folosesc pentru o examinare periodică.
Radiografie ocluzală (maxilară și mandibulară)
Evidențiază arcada dentară superioară (cerul gurii) sau cea inferioară (mandibula). Este utilizată pentru a vedea dinții care încă nu au erupt, fracturi de maxilar, chisturi, abcese și obiecte străine.Radiografii digitale
Tehnologia digitală permite o cantitate mai mică de iradiere, procesul fiind desfășurat cu ajutorul unui computer. Un avantaj al radiografiilor digitale este faptul că acestea pot fi comparate computerizat, pentru a scoate în evidență diferențele invizibile pentru ochiul liber.Peste 13000 de cabinete medicale își prezintă serviciile pe ROmedic.
Radiografii extraorale
Acestea implică poziționarea filmului în exteriorul gurii și evidențiază dinții, dar mai ales craniul. Se folosesc pentru examinarea dezvoltării dinților și a maxilarului, fiind mai puțin detaliate decât cele intraorale.
Radiografie panoramică (Ortopantomografie)
Un mecanism se rotește în jurul capului, arătând toți dinții și maxilarul pe un singur film. Pacientul trebuie să stea absolut nemișcat. Se utilizează în tratamentul dinților impactați, implanturi dentare, anomalii osoase, tumori, fracturi, infecții, etc.
Proiecții cefalometrice (Teleradiografii de față și profil)
Radiografia evidențiaza întregul craniu și este folosită pentru a examina dinții în legătură cu maxilarul și profilul pacientului.Salivografie (Sialografie)
Examinarea glandelor salivare, cu ajutorul substanțelor de contrast. Permite diagnosticul glandelor salivare - blocaje, boala Sjogren, etc.Utilizarea radiografiilor
Vizualizând radiografiile unui pacient, medicul stomatolog poate observa:- zone cariate invizibile cu ochiul liber, cum ar fi spațiile interdentare;
- carii dezvoltate dedesubtul obturațiilor;
- fisuri ale obturațiilor;
- pierderi din masa osoasă, asociate cu bolile parodontale;
- diverse probleme în canalul radicular;
- pregătirea și fixarea implanturilor, aparatelor ortodontice și protezelor;
- chisturi, cancer și alte schimbări asociate cu bolile sistemice;
- evoluția danturii la copii;
Riscuri
Toate tipurile de radiații pot produce leziuni celulare, mai ales în cantități mari. Însă radiațiile din timpul radiografiilor dentare sunt atât de mici, încât riscul problemelor este foarte mic. Totuși, este bine ca femeile însărcinate să evite această procedură, mai ales în primele trei luni de sarcină. Fiecare cabinet de radiologie protejează pacienții cu ajutorul unei veste din plumb.
Data actualizare: 25-09-2019 | creare: 17-06-2009 | Vizite: 19119
Bibliografie
1. X-rays and Intraoral Pictures, link: https://www.colgate.com/app/Colgate/US/OC/Information/OralHealthBasics/CheckupsDentProc/XRays/XRaysandIntraoralPictures.cvsp2. Dental X-ray, link: https://www.ucsfhealth.org/adult/adam/data/003801.html
3. Dental X-rays, link: https://health.yahoo.com/oralcare-overview/dental-x-rays/healthwise--hw211991.html
©
Copyright ROmedic: Articolul se află sub protecția drepturilor de autor. Reproducerea, chiar și parțială, este interzisă!
Alte articole din aceeași secțiune:
Forumul ROmedic - întrebări și răspunsuri medicale:
Pe forum găsiți peste 500.000 de întrebări și răspunsuri despre boli sau alte subiecte medicale. Aveți o întrebare? Primiți răspunsuri gratuite de la medici.- Inceput usor de retragere a gingiei
- Retragere gingii in urma detartrajului
- Cand e cazul sa intrerupi sarcina?
- Radiografii dentare - 4 in decurs de o luna
- Prea multe radiografii?
- Radiografie panoramica- interpretare
- Radiografie dupa operatie orl
- Radiografie
- Radiografie panoramica, probleme?