Transformările virale de la nivelul tractului genital pot cauza probleme sănătății femeilor

Un nou studiu utilizează secvenÈ›ierea genică de nouă generaÈ›ie pentru a se obÈ›ine mai multe informaÈ›ii legate de tipul virusurilor prezente în probe vaginale. Se urmăresc de asemenea posibilele implicaÈ›ii ale virusurilor în dezvoltarea cancerului cervical.
Virusul papiloma uman (HPV) reprezintă un factor de risc cunoscut pentru cancerul cervical. Oamenii de È™tiință de la Arizona State University vor să înÈ›eleagă mai bine factorii care conduc la infecÈ›ia persistentă cu HPV È™i la progresia ulterioară către cancer, prin studiul comunităților complexe de microorganisme din tractul genital feminin, ce poartă numele de microbiom vaginal.
Efrem Lim È™i colegii săi au analizat un subset al microbiomului vaginal adesea ignorat – virusurile. Cercetarea demonstrează că schimbările majore în comunitatea vastă a virusurilor (virom) ar putea induce infecÈ›ia persistentă cu HPV È™i progresia spre cancer. Modificările virale par a fi asociate modificărilor în compoziÈ›ia bacteriilor È™i inflamaÈ›iei tractului genital.
Bacteriile menÈ›in un echilibru delicat în organism pentru a favoriza starea de sănătate, în timp ce virusurile pot înclina balanÈ›a spre diverse stări patologice.
Cancerul de col uterin este unul dintre cel mai frecvent întâlnite cancere la femei. În 2020 au fost raportate la nivel mondial mai mult de 600.000 de cazuri È™i 340.000 de decese provocate de acest tip de cancer. Pe lângă infecÈ›ia cu HPV, alÈ›i factori de risc includ imunodeficienÈ›a, fumatul È™i utilizarea contraceptivelor orale.
Studii recente au explorat legătura dintre microbiomul vaginal È™i cancerul cervical, deÈ™i componenta virală a fost neglijată frecvent. Virusurile interacÈ›ionează atât cu celulele umane, cât È™i cu bacteriile prezente în abundență în tractul genital.
În studiul de față s-au utilizat probe vaginale recoltate de la femei care trăiesc în zona metropolitană din Phoenix, Arizona. Rezultatele evidenÈ›iază o asociere între inflamaÈ›ia genitală È™i nivelul redus al speciilor bacteriene de lactobacili cu scăderea diversității viromului. Lactobacilii sunt bacterii ce favorizează sănătatea tractului genital. În plus condiÈ›iile propice infecÈ›iei persistente cu HPV au fost asociate cu abundenÈ›a unui grup de virusuri ce infectează bacteriile, cunoscuÈ›i drept bacteriofagi.
Descoperirile accentuează tot mai mult importanța studiilor asupra viromului și interacțiunilor complexe pe care acesta le are cu alte componente ale microbiomului uman.
sursa: Science Daily
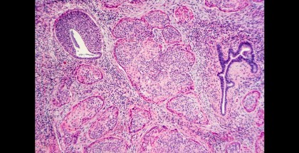
foto: Cancer de col uterin: carcinom scuamos invaziv care apare în asociere cu displazia scuamoasă severă legată de HPV (virusul papiloma uman). Vaccinarea HPV la adolescenÈ›i poate fi preventivă. Courtesy: David A. Litman
Copyright ROmedic: Articolul se află sub protecția drepturilor de autor. Reproducerea, chiar și parțială, este interzisă!
- Asocierea dintre durerile de genunchi și depresie (Studiu)
- Prevalența depresiei și anxietății în rândul adulților cu durere cronică
- Risc de boală profesională pentru artiștii tatuatori
- Femeile care lucrează mai mult de 40 de ore pe săptămână pot avea un risc crescut de cancer și boli cardiovasculare
intră pe forum