Un medicament antisedativ poate reduce daunele produse de cancer asupra tractului gastrointestinal
©
Autor: Teodorescu Mihai

Celulele stem intestinale, responsabile cu protejarea tractului gastrointestinal, sunt extrem de sensibile la tratamentele împotriva cancerului, care le pot modifica ADN-ul și într-un final distruge, cu consecințe importante asupra sănătății gastrointestinale. Reacțiile adverse apărute în urma pierderii celulelor stem intestinale pot persista pentru perioade lungi de timp și pot determină limitarea posibilităților de tratament, cu afectarea calității vieții pacienților.
Pentru a identifica soluții de atenuare a daunelor produse de tratamentele pentru cancer împotriva celulelor stem intestinale, cercetătorii de la Universitatea Shandong au efectuat o serie de experimente pe șoareci de laborator, în urma cărora au identificat o creștere a nivelurilor unei proteine găsite în celulele stem, numită GABRA1, după expunerea șoarecilor la radiații sau la medicamente de chimioterapie. Proteina GABRA1, o componentă a receptorului GABAA, a modificat structura ADN a celulelor stem intestinale, iar inhibarea receptorului GABAA a oferit protecție împotriva efectelor secundare toxice ale terapiilor împotriva cancerului.
Datele din studiul actual sugerează că inhibarea receptorului GABAA reprezintă o strategie promițătoare care ar putea permite limitarea potențialelor efecte dăunătoare ale terapiilor anti-cancer asupra tractului gastrointestinal. Cu toate acestea, la momentul actual nu poate fi recomandată administrarea de Flumazenil pacienților tratați pentru cancer, deoarece sunt necesare studii de tolerabilitate ale medicamentului.
sursa: News Medical
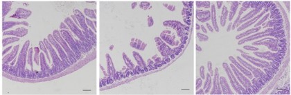
foto: În comparație cu un control (stânga), tratamentul cu radiații (centru) distruge structura intestinului subțire al șoarecelui. Dar o mucoasă intestinală sănătoasă este menținută în prezența unui inhibitor al receptorului GABAA (dreapta). © 2022 Zhang et al. Originally published in Journal of Experimental Medicine. https://doi.org/10.1084/jem.20220541
Data actualizare: 22-09-2022 | creare: 22-09-2022 | Vizite: 474
Bibliografie
FDA-approved anti-sedative could alleviate common side effects of cancer treatments, link: https://www.news-medical.net/news/20220920/FDA-approved-anti-sedative-could-alleviate-common-side-effects-of-cancer-treatments.aspx ©
Copyright ROmedic: Articolul se află sub protecția drepturilor de autor. Reproducerea, chiar și parțială, este interzisă!
Alte articole din aceeași secțiune:
- Asocierea dintre diabet și cancerul de sân: prezența uneia dintre cele două afecțiuni crește riscul de dezvoltare a celeilalte
- Mierea de Manuka inhibă progresia cancerului de sân uman în modelele preclinice
- O nouă abordare în lupta împotriva mai multor tipuri de cancer
- Screening-ul pentru cancerul colo-rectal, recomandat de la 45 de ani, în loc de 50 ani, cum prevăd ghidurile actuale
Din Ghidul de sănătate v-ar putea interesa și:
Forumul ROmedic - întrebări și răspunsuri medicale:
Pe forum găsiți peste 500.000 de întrebări și răspunsuri despre boli sau alte subiecte medicale. Aveți o întrebare? Primiți răspunsuri gratuite de la medici.- Implant silicon sani
- Pentru cei cu anxietate si atacuri de panica FOARTE IMPORTANT
- GRUP SUPORT PENTRU TOC 2014
- Histerectomie totala cu anexectomie bilaterala
- Grup de suport pentru TOC-CAP 15
- Roaccutane - pro sau contra
- Care este starea dupa operatie de tiroida?
- Helicobacter pylori
- Medicamente antidepresive?
- Capsula de slabit - mit, realitate sau experiente pe oameni