Miozitele
Miozitele sau miopatiile inflamatorii reprezinta un grup heterogen de afectiuni musculare caracterizate prin slabiciune musculara si markeri de inflamatie la examenul histopatologic. In functie de etiologie, ele pot fi impartite in cinci categorii:
Polimiozita si dermatomiozita sunt miopatii inflamatorii considerate idiopatice, desi probabil etiologia lor este autoimuna, insa nu destul de mult elucidata, ca in alte boli autoimune. Debuteaza subacut prin oboseala si scaderea fortei musculare in special la nivelul membrelor dar poate afecta si alte segmente. La nivelul membrelor, slabiciunea musculara se localizeaza mai ales proximal (pacientul se ridica cu dificultate de pe scaun, urca greu scarile, ridica greu bratele deasupra capului, se spala pe cap mai greu etc.) si de cele mai multe ori este insotita de dureri musculare (mialgii). Tulburarea de sensibilitate nu este prezenta, iar reflexele osteotendinoase sunt normale sau usor scazute. Atrofia musculara apare doar in formele severe si care au o evolutie mai lunga. La multi pacienti se remarca o scadere de forta la nivelul flexorilor cervicali. In unele cazuri pot fi implicati si muschii deglutiei (pacientul se plange de disfagie si chiar odinofagie), muschii faciali sau muschii respiratori (caz in care prognosticul este mai prost).
Pana la 40% din bolnavi pot avea manifestari cardiace datorita unei miocardite asociate. Alte manifestari extramusculare pot fi fenomele artritice, fenomenul Raynaud sau cele cutanate.
Pacientii cu dermatomiozita au si manifestari cutanate pe langa cele musculare. Ei pot avea un rash destul de caracteristic: de culoare rosie-violacee, se localizeaza la nivelul pleopelor superioare, obrajilor, gatului, umerilor si toracelui superior, este heliotrop si destul de simetric. In plus, bolnavii pot prezenta hiperemie periunghiala, teleangiectazii si depozite subcutanate de calciu. Uneori leziuni eritematoase pot aparea la nivelul coatelor, genunchilor si maleolelor.
Dermatomiozita apare mai frecvent la copil, iar la adult este mai des asociata cu o boala maligna fata de polimiozita (la femei, cel mai des cancer de san si ovarian; la barbati, cancer pulmonar si gastrointestinal).
CK (creatinkinaza) este de cele mai multe ori crescuta pana la de 10 ori valoarea normala.
Electromiografia evidentiaza modificari caracteristice (activitate spontana, potentiale de unitate motorie de aspect miopatic) in special in muschii proximali si paraspinali si poate ghida locul biopsiei musculare atunci cand aceasta este necesara.
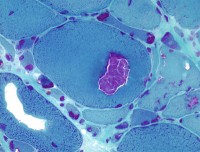
Miozita cu corpi de incluzie este cea mai comuna miopatie inflamatorie la persoanele de peste 50 ani. De multe ori este confundata cu polimiozita. Poarta acest nume deoarece examinarea histopatologica a fibrelor musculare afectate evidentiaza corpi de incluzie intranucleari si intracitoplasmatici.
Debuteaza la persoane varstnice (mai des la barbati) cu scadere de forta musculara la nivelul muschilor proximali dar si distali si are evolutie lenta astfel incat poate dura si cativa ani pana la diagnostic. Boala are predilectie pentru anumiti muschi cum sunt cvadricepsul si flexorii lungi ai degetelor, dar si bicepsul, tricepsul si tibialul anterior. Atrofia cvadricepsului este de obicei evidenta. Reflexele osteotendinoase sunt de obicei scazute. Foarte rar apare disfagia.
De multe ori acesti pacienti sunt diagnosticati initial cu polimiozita sau boala de neuron motor (datorita evolutiei mai lente si atrofiei musculare). Un mic numar de pacienti pot mosteni aceasta afectiune, insa pentru majoritatea ea este dobandita sporadic.
CK (creatinkinaza) poate fi normala sau usor crescuta.
Electromiografia evidentiaza aspecte specifice unei miopatii atat in muschii proximali cat si in cei distali dar poate diagnostica si o polineuropatie usoara asociata la acesti pacienti.
Miozita din bolile infectioase se manifesta de obicei prin febra, oboseala, slabiciune musculara predominant proximala si mialgii importante si de multe ori pacientii prezinta tablou clinic de miocardita. In trichineloza, de exemplu, afectarea musculara este generalizata astfel incat pacientul prezinta si diplopie, disfagie, dizartrie si dispnee.
Aproximativ o treime din cei infectati cu virusul HIV ajung sa dezvolte o miopatie inflamatorie (acesti pacienti sunt insa susceptibili si la o miopatie mitocondriala secundara tratamentului cu Zidovudina). Pacientii infectati cu virusul HTLV fac frecvent polimiozita combinata cu mielopatie.
O forma severa este piomiozita in care apare un abces muscular (de obicei la nivelul muschiului cvadriceps sau psoas).
Alege-ți medicul și fă o programare!
Peste 13000 de cabinete medicale își prezintă serviciile pe ROmedic.
Din pacate, miozita cu corpi de incluzie (cea mai frecventa cauza de miopatie inflamatorie la varstnici) este in general rezistenta la tratament. Au fost descrise cazuri in care pacientii au prezentat ameliorari incomplete la imunoglobuline administrate intravenos sau la combinatii de corticosteroizi cu imunosupresoare, dar de obicei boala este progresiva si putin responsiva la terapie.
In ceea ce priveste miozita din trichineloza, tratamentul are ca prima linia medicamentele antiparazitare (Tiabendazol, Mebendazol) la care se adauga corticoterapia (care are rolul si de a preveni reactia Herxheimer).
Nu in ultimul rand, trebuie tinut cont de cauza primara a miozitei atunci cand aceasta este determinata (boala autoimuna, neoplazie, infectie) care trebuie si ea tratata.
Desi nu exista o relatie direct proportionala intre nivelul de CK (creatinkinaza) si severitatea bolii, in acest moment, enzima CK reprezinta cel mai util marker biochimic care indica activitatea bolii in timpul terapiei (este bine de monitorizat o data la 3-4 saptamani dupa inceperea tratamentului).
Factorii de prognostic negativ in miozite sunt:

- idiopatice (cauza este necunoscuta) – polimiozita, dermatomiozita, miozita cu corpi de incluzie
- asociate cu o boala de tesut conjunctiv sau o boala autoimuna (lupusul eritemtos sistemic, sindromul Sjogren, poliartrita reumatoida, sclerodermie etc.)
- infectioase – mai frecvent HIV, HTLV, virusuri gripale, boala Lyme, cisticercoza, trichineloza, toxoplasmoza, fungi
- asociate cu neoplazii
- iatrogene (medicamentoase) – D-Penicilamina, Procainamida, statine, Interferon-α.
Polimiozita si dermatomiozita sunt miopatii inflamatorii considerate idiopatice, desi probabil etiologia lor este autoimuna, insa nu destul de mult elucidata, ca in alte boli autoimune. Debuteaza subacut prin oboseala si scaderea fortei musculare in special la nivelul membrelor dar poate afecta si alte segmente. La nivelul membrelor, slabiciunea musculara se localizeaza mai ales proximal (pacientul se ridica cu dificultate de pe scaun, urca greu scarile, ridica greu bratele deasupra capului, se spala pe cap mai greu etc.) si de cele mai multe ori este insotita de dureri musculare (mialgii). Tulburarea de sensibilitate nu este prezenta, iar reflexele osteotendinoase sunt normale sau usor scazute. Atrofia musculara apare doar in formele severe si care au o evolutie mai lunga. La multi pacienti se remarca o scadere de forta la nivelul flexorilor cervicali. In unele cazuri pot fi implicati si muschii deglutiei (pacientul se plange de disfagie si chiar odinofagie), muschii faciali sau muschii respiratori (caz in care prognosticul este mai prost).Pana la 40% din bolnavi pot avea manifestari cardiace datorita unei miocardite asociate. Alte manifestari extramusculare pot fi fenomele artritice, fenomenul Raynaud sau cele cutanate.
Pacientii cu dermatomiozita au si manifestari cutanate pe langa cele musculare. Ei pot avea un rash destul de caracteristic: de culoare rosie-violacee, se localizeaza la nivelul pleopelor superioare, obrajilor, gatului, umerilor si toracelui superior, este heliotrop si destul de simetric. In plus, bolnavii pot prezenta hiperemie periunghiala, teleangiectazii si depozite subcutanate de calciu. Uneori leziuni eritematoase pot aparea la nivelul coatelor, genunchilor si maleolelor.
Dermatomiozita apare mai frecvent la copil, iar la adult este mai des asociata cu o boala maligna fata de polimiozita (la femei, cel mai des cancer de san si ovarian; la barbati, cancer pulmonar si gastrointestinal).
CK (creatinkinaza) este de cele mai multe ori crescuta pana la de 10 ori valoarea normala.
Electromiografia evidentiaza modificari caracteristice (activitate spontana, potentiale de unitate motorie de aspect miopatic) in special in muschii proximali si paraspinali si poate ghida locul biopsiei musculare atunci cand aceasta este necesara.
Miozita cu corpi de incluzie este cea mai comuna miopatie inflamatorie la persoanele de peste 50 ani. De multe ori este confundata cu polimiozita. Poarta acest nume deoarece examinarea histopatologica a fibrelor musculare afectate evidentiaza corpi de incluzie intranucleari si intracitoplasmatici.Debuteaza la persoane varstnice (mai des la barbati) cu scadere de forta musculara la nivelul muschilor proximali dar si distali si are evolutie lenta astfel incat poate dura si cativa ani pana la diagnostic. Boala are predilectie pentru anumiti muschi cum sunt cvadricepsul si flexorii lungi ai degetelor, dar si bicepsul, tricepsul si tibialul anterior. Atrofia cvadricepsului este de obicei evidenta. Reflexele osteotendinoase sunt de obicei scazute. Foarte rar apare disfagia.
De multe ori acesti pacienti sunt diagnosticati initial cu polimiozita sau boala de neuron motor (datorita evolutiei mai lente si atrofiei musculare). Un mic numar de pacienti pot mosteni aceasta afectiune, insa pentru majoritatea ea este dobandita sporadic.
CK (creatinkinaza) poate fi normala sau usor crescuta.
Electromiografia evidentiaza aspecte specifice unei miopatii atat in muschii proximali cat si in cei distali dar poate diagnostica si o polineuropatie usoara asociata la acesti pacienti.
Miozita din bolile infectioase se manifesta de obicei prin febra, oboseala, slabiciune musculara predominant proximala si mialgii importante si de multe ori pacientii prezinta tablou clinic de miocardita. In trichineloza, de exemplu, afectarea musculara este generalizata astfel incat pacientul prezinta si diplopie, disfagie, dizartrie si dispnee.
Aproximativ o treime din cei infectati cu virusul HIV ajung sa dezvolte o miopatie inflamatorie (acesti pacienti sunt insa susceptibili si la o miopatie mitocondriala secundara tratamentului cu Zidovudina). Pacientii infectati cu virusul HTLV fac frecvent polimiozita combinata cu mielopatie.
O forma severa este piomiozita in care apare un abces muscular (de obicei la nivelul muschiului cvadriceps sau psoas).
Peste 13000 de cabinete medicale își prezintă serviciile pe ROmedic.
Diagnostic
Diagnosticul miozitei presupune:- examinarea clinica neurologica
- electromiografia
- imagistica musculara
- biopsia musculara
- dozarea de autoanticorpi (anti-Jo1, anti-SRP, anti-Mi2)
- screening pentru boli maligne
- screening pentru infectia HIV.
Tratamentul in miozite
Tratamentul miozitelor se bazeaza pe imunoterapie (mai putin in miozita cu corpi de incluzie care este destul de rezistenta) avand:- ca prima linie corticosteroizi (administrati oral sau injectabil in doze in functie de severitatea bolii si particularitatile pacientului)
- ca linie secundara imunosupresoarele (Methotrexat, Azatioprina, Micofenolat de mofetil, pentru pacientii care au un raspuns incomplet sau absent la corticosteroizi sau pentru cei care manifesta reactii adverse severe la acestia).
Din pacate, miozita cu corpi de incluzie (cea mai frecventa cauza de miopatie inflamatorie la varstnici) este in general rezistenta la tratament. Au fost descrise cazuri in care pacientii au prezentat ameliorari incomplete la imunoglobuline administrate intravenos sau la combinatii de corticosteroizi cu imunosupresoare, dar de obicei boala este progresiva si putin responsiva la terapie.
In ceea ce priveste miozita din trichineloza, tratamentul are ca prima linia medicamentele antiparazitare (Tiabendazol, Mebendazol) la care se adauga corticoterapia (care are rolul si de a preveni reactia Herxheimer).
Nu in ultimul rand, trebuie tinut cont de cauza primara a miozitei atunci cand aceasta este determinata (boala autoimuna, neoplazie, infectie) care trebuie si ea tratata.
Desi nu exista o relatie direct proportionala intre nivelul de CK (creatinkinaza) si severitatea bolii, in acest moment, enzima CK reprezinta cel mai util marker biochimic care indica activitatea bolii in timpul terapiei (este bine de monitorizat o data la 3-4 saptamani dupa inceperea tratamentului).
Factorii de prognostic negativ in miozite sunt:
- aspectul de miozita cu corpi de incluzie la biopsia musculara,
- prezenta de anticorpi anti-SRP,
- asocierea unei boli maligne,
- prezenta cardiomiopatiei
- prezenta bolii pulmonare interstitiale.
Din Biblioteca medicală vă mai recomandăm:
Din Ghidul de sănătate v-ar putea interesa și:
Forumul ROmedic - întrebări și răspunsuri medicale:
Pe forum găsiți peste 500.000 de întrebări și răspunsuri despre boli sau alte subiecte medicale. Aveți o întrebare? Primiți răspunsuri gratuite de la medici.- Blocare muschi
- Accident Moto, biceps mâna stânga nu mai funcționează !
- Muschii blocatii sau sistemul meu imunitar imi afecteaza muschii
- De cateva luni sufar de anxietate si de o luna am contractura a muschiului trapez
- Problema picior... muschii incordati
- Durere muschi picior
- Miozita?
- Fasciculati musculare