Imunoterapie nouă împotriva fibrozei: rezultate promițătoare obținute în studiile pe animale
©
Autor: Teodorescu Mihai

„În experimente pe animale, am reușit să declanșăm un răspuns imun similar cu cel obținut în urma vaccinării, în urma căruia celulele de țesut conjunctiv activate au fost eliminate, în timp ce fibroblastele aflate în repaus nu au fost afectate”, declară autorul studiului, profesorul Christian Stockmann de la Institutul de Anatomie din cadrul Universității din Zurich.
Folosind imunoterapia, cercetătorii au reușit să reducă fibroza din organele vitale, precum plămâni și ficat, fără a influența funcționarea altor organe și fără a afecta țesuturile sănătoase din vecinătate. Noua abordare se diferențiază de cele încercate anterior întocmai prin capacitatea sa de a ținti doar fibroblastele active, fără a afecta organe sau țesuturi sănătoase, fără fibroză. Potrivit autorilor, au reușit acest lucru în urma analizelor efectuate pe computer, care au arătat că fragmentele a două proteine (Adam12 și Gli1) sunt prezente în număr mare pe fibroblastele activate, însă nu și pe celulele aflate în repaus.
Folosind cele două proteine identificate, cercetătorii au dezvoltat o imunoterapie menită să declanșeze un răspuns imun prin intermediul celulelor imunitare T citotoxice, responsabile în general pentru eliminarea din organism celulelor canceroase sau infectate cu un virus. „Folosind imunoterapia nou dezvoltată, am reușit să eliminăm fibroblastele active la rozătoare, ceea ce a condus la reducerea semnificativă a fibrozei la nivel hepatic și pulmonar, fără a afecta țesutul sănătos al organelor”, concluzionează Stockmann.
sursa:Science Daily
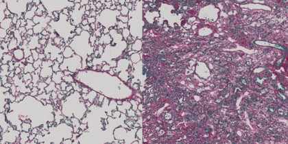
foto: Țesutul pulmonar sănătos conține multe alveole umplute cu aer, în care oxigenul este absorbit din aerul respirator în sânge (stânga). În țesutul pulmonar fibrotic, aceștia au fost înlocuiți de creșteri de țesut conjunctiv (dreapta). (Imagine: Christian Stockmann, UZH)
Peste 13000 de cabinete medicale își prezintă serviciile pe ROmedic.
Data actualizare: 20-09-2022 | creare: 20-09-2022 | Vizite: 774
Bibliografie
Immunotherapy reduces lung and liver fibrosis in mice, link: https://www.sciencedaily.com/releases/2022/09/220915123648.htm ©
Copyright ROmedic: Articolul se află sub protecția drepturilor de autor. Reproducerea, chiar și parțială, este interzisă!
Alte articole din aceeași secțiune:
- Cercetătorii au dezvoltat o metodă de a ținti bacteriile care provoacă mirosul neplăcut de transpirație
- Cercetătorii au dovedit că screeningul genomic combinat pentru principalele boli ereditare este rentabil și benefic pentru sănătate
- Ultrasunetele sunt eficiente în îmbunătățirea cogniției, chiar și fără țintirea plăcilor de amiloid
- Cetonele sunt promițătoare în prevenirea declinului cognitiv și a neurodegenerării
Din Biblioteca medicală vă mai recomandăm:
Din Ghidul de sănătate v-ar putea interesa și:
Forumul ROmedic - întrebări și răspunsuri medicale:
Pe forum găsiți peste 500.000 de întrebări și răspunsuri despre boli sau alte subiecte medicale. Aveți o întrebare? Primiți răspunsuri gratuite de la medici.- Fibroza pulmonara, astm bronsic - infromatii
- Fibroza pulmonara
- Respiratie insuficienta si ziua si noaptea, cu suieraturi la expiratie.
- Asimetrie pulmonara dreapta prin leziuni fibronodulare retractile- sechelare
- Fibroza pulmonara??
- Fibroza pulmonara - ameliorare, tratament
- Nelămurire Fibroza pulmonară
- Speranta de viata fibroza pulmonara