Tomosinteza digitală a sânilor identifică cu o precizie mai ridicată cancerul mamar, comparativ cu mamografia digitală bidimensională
©
Autor: Teodorescu Mihai

Publicat în jurnalul Radiology, studiul și-a propus să determine dacă mamografia 3D poate îmbunătății ratele de diagnostic ale cancerului mamar și implicit șansele de supraviețuire în rândul pacienților. Pentru a realiza acest lucru, cercetătorii au evaluat rezultatele screening-ului pe o cohortă de peste un milion de femei din SUA, care au fost testate fie prin mamografie digitală bidimensională, fie prin mamografie 3D între ianuarie 2014 și decembrie 2020. Rezultatele au arătat că mamografia 3D a detectat un număr mai mare de cazuri de cancer mamar decât mamografia digitală bidimensională și a avut o rată mai mică de rezultate fals pozitive.
În prezent, mamografia digitală bidimensională (2D) este considerată standardul de îngrijire a sănătății pentru screening-ul cancerului mamar. Cu toate acestea, tomosinteza digitală a sânilor este considerată de către mulți specialiști în domeniu ca fiind o tehnologie promițătoare, care poate îmbunătăți sensibilitatea și specificitatea detectării cancerului mamar, comparativ cu mamografia tradițională.
Mamografia digitală bidimensională (2D) utilizează o singură imagine plată pentru a obține o imagine a țesutului mamar, ceea ce poate duce la suprapunerea țesutului și poate face mai dificilă detectarea unor anomalii. În schimb, tomosinteza digitală a sânilor utilizează imagini multiple pentru a crea o imagine tridimensională a sânilor, ceea ce reduce suprapunerea țesutului și poate face mai ușor detectarea anumitor tipuri de anomalii, în special a celor mai mici și mai subtile.
sursa: News Medical
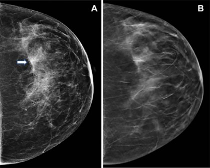
foto: Imagini la o femeie de 47 de ani care s-a prezentat la screening de rutină. (A) Mamografia digitală arată densități fibroglandulare împrăștiate. Pe partea stângă a mamografiei digitale este prezentă o asimetrie (săgeată). (B) Imaginea de tomosinteză digitală a sânului nu arată nicio leziune suspectă, ci mai degrabă o suprapunere a structurilor fibroglandulare și ligamentare normale. https://doi.org/10.1148/radiol.221571 © RSNA 2023
Data actualizare: 16-03-2023 | creare: 16-03-2023 | Vizite: 1642
Bibliografie
Study finds better breast cancer screening outcomes with tomosynthesis than mammography, link: https://www.news-medical.net/news/20230314/Study-finds-better-breast-cancer-screening-outcomes-with-tomosynthesis-than-mammography.aspx ©
Copyright ROmedic: Articolul se află sub protecția drepturilor de autor. Reproducerea, chiar și parțială, este interzisă!
Alte articole din aceeași secțiune:
- Testarea viscoelastică: o soluție promițătoare pentru reducerea mortalității materne cauzate de hemoragia postpartum
- Tratamentele de fertilitate nu duc la afecțiuni cardiometabolice la copiii rezultați prin această procedură
- Progresia osteoartritei genunchiului poate fi încetinită cu ajutorul unui tratament comun
- Inactivarea fotodinamică: o strategie eficientă pentru depășirea rezistenței la Candida albicans
Din Biblioteca medicală vă mai recomandăm:
Din Ghidul de sănătate v-ar putea interesa și:
Forumul ROmedic - întrebări și răspunsuri medicale:
Pe forum găsiți peste 500.000 de întrebări și răspunsuri despre boli sau alte subiecte medicale. Aveți o întrebare? Primiți răspunsuri gratuite de la medici.- Ce trebuie sa facem pe plan oncologic prima data radioterapie sau chimioterapie?
- Tumora la san lamuriti-ma
- Rezultat mamografie
- Rezultat mamografie femeie 60 ani
- Rezultat mamografie
- Mamografie cu trimitere... unde?
- Mamografie
- Interpretare mamografie
- Interpretare mamografie
- Rezultat mamografie