Acumularea excesivă de fibrină în gingii poate cauza boala parodontală
©
Autor: Domșa Dariana

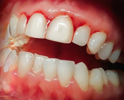
Boala parodontală, o infecție bacteriană a țesuturilor care susțin dinții, afectează aproape jumătate dintre americanii de peste 30 de ani și 70% dintre cei de peste 65 de ani. În stadiile incipiente, boala parodontală provoacă înroșirea și umflarea gingiilor. În stadii avansate, numite parodontită, osul care susține dinții este deteriorat, ducând la pierderea dinților.
În locurile de leziune sau inflamație, fibrina joacă în mod normal un rol protector, ajutând la formarea cheagurilor de sânge și activând celulele imune pentru a lupta împotriva infecțiilor. Cu toate acestea, prea multă fibrină a fost asociată cu probleme de sănătate, inclusiv cu o formă rară de parodontită, cauzată de o afecțiune numită deficiență de plasminogen (PLG). La persoanele afectate, mutațiile din gena PLG duc la acumularea de fibrină și la boli în diferite locuri ale corpului, inclusiv la nivelul gurii.
Pentru a explora legătura dintre acumularea anormală de fibrină și parodontoză, oamenii de știință au studiat deficiența PLG la șoareci și au analizat datele genetice umane. La fel ca oamenii cu această afecțiune, șoarecii cu deficit de PLG au dezvoltat parodontită, inclusiv pierdere osoasă parodontală și niveluri crescute de fibrină în gingii. Gingiile șoarecilor erau aglomerate cu celule imunitare numite neutrofile, care se găsesc în cantități crescute în formele comune de parodontită.
Neutrofilele apără de obicei cavitatea bucală de microbii nocivi, însă un răspuns excesiv de neutrofile cauzează leziuni tisulare. Pentru a afla dacă fibrina determina răspunsul hiperactiv, cercetătorii i-au afectat capacitatea de a interacționa cu receptorii proteici de pe neutrofile. Legarea slăbită dintre fibrină și neutrofile a prevenit complet pierderea osoasă parodontală la șoarecii cu deficit de PLG. În mod surprinzător, a redus, de asemenea, pierderea osoasă la șoarecii normali, cu o formă comună, legată de vârstă, de parodontoză, sugerând că mecanisme similare au fost implicate în ambele forme ale bolii.
sursa: Science Daily
Data actualizare: 30-12-2021 | creare: 30-12-2021 | Vizite: 2292
Bibliografie
Disarming a blood-clotting protein prevents gum disease in mice, link: https://www.sciencedaily.com/releases/2021/12/211223143106.htm ©
Copyright ROmedic: Articolul se află sub protecția drepturilor de autor. Reproducerea, chiar și parțială, este interzisă!
Alte articole din aceeași secțiune:
- Fumatul, inflamația parodontală și rolul CXCL12: mecanisme moleculare ale agravării parodontitei la fumători
- Descoperire în domeniul MicroARN oferă speranță pentru regenerarea osului dentar
- Oamenii care cred că norocul le determină soarta au mai multe șanse de a avea o boală severă a gingiilor
- Sfaturi nutriționale pentru pacienții stomatologici
Din Biblioteca medicală vă mai recomandăm:
Din Ghidul de sănătate v-ar putea interesa și:
Forumul ROmedic - întrebări și răspunsuri medicale:
Pe forum găsiți peste 500.000 de întrebări și răspunsuri despre boli sau alte subiecte medicale. Aveți o întrebare? Primiți răspunsuri gratuite de la medici.- Punte dentara sau proteza fixa???
- Evolutie parodontoza, stie cineva?
- Un sfat legat de posibila parodontoza
- Parodontoza?
- Diagnostic parodontoza
- Extractii multiple la parodontoza
- Unde se poate trata parodontoza in Bucuresti?
- Parodontoza stare avansata
- Tratament paradontoza
- Parodontoză în stare avansată