Mai multe grăsimi în alimentație înseamnă un risc crescut de cancer colorectal
©
Autor: Airinei Camelia

Publicat în Cell Reports, studiul a arătat că șoarecii hrăniți cu diete bogate în grăsimi au prezentat niveluri crescute de bacterii intestinale specifice. S-a descoperit că aceste bacterii modifică compoziția acizilor biliari, care sunt molecule cruciale pentru digestie și absorbția nutrienților. Modificările cauzate de aceste bacterii au dus la inflamație și au afectat rata cu care celulele stem intestinale s-au reînnoit. Aceste celule stem sunt importante pentru că reaprovizionarea lor nefrecventă poate duce la acumularea de mutații, un pas cheie în dezvoltarea cancerelor.
Cercetătorii au studiat șoarecii cu predispoziție genetică la tumori colorectale și au descoperit că acizii biliari modificați, influențați de microbiomul intestinal, au jucat un rol semnificativ în promovarea unui mediu propice dezvoltării cancerului. S-a constatat că microbiomii șoarecilor care țin dietele bogate în grăsimi sunt mai puțin diversi și conțineau specii bacteriene diferite în comparație cu cei din dietele normale. Anumite bacterii, în special Ileibacterium valens și Ruminococcus gnavus, au fost responsabile pentru producerea acizilor biliari modificați.
Interesant este că impactul unei diete bogate în grăsimi asupra microbiomului și a acizilor biliari a fost mai semnificativ decât o mutație genetică care a crescut susceptibilitatea cancerului. Descoperirile au indicat că dietele bogate în grăsimi au încurajat creșterea anumitor bacterii, ceea ce duce la alterarea producției de acid biliar și la un mediu intestinal inflamator. Autorii studiului cred că înțelegerea acestui mecanism poate ghida intervențiile pentru a reduce riscul de cancer asociat cu dietele bogate în grăsimi.
În cercetările viitoare, echipa își propune să investigheze rapiditatea modificărilor microbiomului și a acidului biliar după inițierea unei diete bogate în grăsimi. Ei intenționează, de asemenea, să exploreze metode pentru a inversa efectele legate de cancer ale unor astfel de diete, țintind o proteină specifică numită FXR, care anterior a fost legată de modificările acidului biliar.
sursa: News Medical
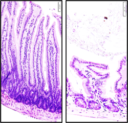
foto: Pliurile interioare ale intestinelor (violet) sunt diferite la șoarecii sănătoși (stânga) în comparație cu șoarecii hrăniți cu o dietă bogată în grăsimi (dreapta). Cercetătorii Salk au identificat modificări ale bacteriilor și acizilor biliari care conduc aceste modificări. Credit: Salk Institute
Data actualizare: 23-08-2023 | creare: 23-08-2023 | Vizite: 390
Bibliografie
High-fat diet changes gut bacteria, bile acids, and increases colorectal cancer risk, link: https://www.news-medical.net/news/20230822/High-fat-diet-changes-gut-bacteria-bile-acids-and-increases-colorectal-cancer-risk.aspx ©
Copyright ROmedic: Articolul se află sub protecția drepturilor de autor. Reproducerea, chiar și parțială, este interzisă!
Alte articole din aceeași secțiune:
- Quinoa și beneficiile sale pentru sănătate: un nou studiu raportează capacitatea sa de a normaliza nivelul de zahăr din sânge
- Substituirea cărnii roșii cu leguminoase favorizează sănătatea cardiovasculară și controlul greutății
- Obezitatea infantilă și consumul matern de pește în timpul sarcinii
- Care sunt pacienții ce ar putea avea beneficii de pe urma unei diete ketogenice?
Din Ghidul de sănătate v-ar putea interesa și:
Forumul ROmedic - întrebări și răspunsuri medicale:
Pe forum găsiți peste 500.000 de întrebări și răspunsuri despre boli sau alte subiecte medicale. Aveți o întrebare? Primiți răspunsuri gratuite de la medici.- Implant silicon sani
- Pentru cei cu anxietate si atacuri de panica FOARTE IMPORTANT
- GRUP SUPORT PENTRU TOC 2014
- Histerectomie totala cu anexectomie bilaterala
- Grup de suport pentru TOC-CAP 15
- Roaccutane - pro sau contra
- Care este starea dupa operatie de tiroida?
- Helicobacter pylori
- Medicamente antidepresive?
- Capsula de slabit - mit, realitate sau experiente pe oameni