Carcinomul spinocelular
Autor: Dr. Stiuriuc Simona
Revizuit de: Dr. Mihălceanu Mihăița Viorica, Medic primar dermato-venerologie

Carcinomul spinocelular este cea mai frecventa tumora maligna a semimucoaselor si mucoaselor si a doua ca frecventa la nivel de piele (dupa carcinomul bazocelular). Reprezinta peste 20% dintre neoplasmele cutanate.
Carcinomul spinocelular apare pe pielea expusa la soare la persoanele de virsta mijlocie sau inaintata. In cazul prezentarii precoce a pacientului la dermatolog carcinoamele spinocelulare sunt identificate cu usurinta si inlaturate prin mica chirurgie. Leziunile mai mari si mai severe necesita chirurgie agresiva, terapie de iradiere sau ambele.
Carcinomul spinocelular de risc inalt necesita evaluare atenta si tratament, pentru ca poarta un risc semnificativ de metastaze.
O cauza pentru cresterea incidentei cazurilor de carcinom spinocelular se datoreaza expunerii la soare. Se postuleaza ca rarefierea stratului de ozon poate intensifica expunerea la ultraviolete. Alti factori care contribuie la cresterea incidentei includ:
- virsta inaintata
- factori genetici: indivizii cu fototipurile de piele I si II sunt mai predispusi la cancere cutanate
- terapie imunosupresiva folosita in transplantul de organe si variate afectiuni reumatologice si dermatologice.
Cele mai multe forme de carcinom spinocelular sunt tratate si produc putine sechele. Un subset de leziuni de risc inalt determina cea mai crescuta morbiditate si mortalitate asociata cu acest tip de neoplasm. Aceste leziuni pot determina distrugerea tisulara extensiva, iar inlaturarea lor poate lasa diformitate cosmetica semnificativa. Riscul de metastaze este de 2-6%, totusi s-au descris si rate de 47% in cazul invaziei perineurale. Metastazele limfatice sunt asociate cu morbiditate semnificativa. Odata ce s-au instalat metastazele in organe la distanta (cum ar fi cele pulmonare), boala este incurabila.
Optiunile nechirurgicale pentru tratamentul de carcinom spinocelular sunt chimioterapia, imunomodulatorii topici, terapia fotodinamica, radioterapia si chimioterapia sistemica. Radioterapia este de electie pentru pacientii la care nu se poate aplica chirurgia si este adjuvanta pentru cei cu metastaze. Cele mai multe tipuri de carcinom spinocelular pot fi tratate prin metode chirurgicale sau distructive, cu rate de vinecare ridicate. Se folosesc crioterapia, electrodesicarea si chiuretajul, excizia cu margini conventionale, chirurgia Mohs. Deoarece carcinomul spinocelular este o leziune care poate reveni, metastaza si cauza decesul si deoarece poarta un prognostic negativ, trebuie incercata extirparea tumorii de la prima prezentare la medic.
Tumorile cu risc scazut sunt vindecate prin terapie chirurgicala, totusi pacientii care dezvolta un carcinom spinocelular au 40% risc de a dezvolta alte tumori scuamoase in urmatorii doi ani. Riscul este crescut pe masura ce pacientul inainteaza in virsta. De aceea pacientii trebuie evaluati la fiecare 6-12 luni. Pacientii cu tumori cu risc ridicat necesita examinarea pielii si a nodulilor limfatici la 3-6 luni pentru cel putin doi ani de la diagnostic.
Patogenie si cauze
Carcinomul spinocelular este o tumora maligna din keratinocitele epidermice. Unele cazuri apar de novo, in absenta unei leziuni precursoare, totusi majoritatea tumorilor apar din leziuni precanceroase cunoscute drept keratoza actinica. Pacientii cu multiple keratoze actinice au un risc crescut de a dezvolta tumori. Carcinomul spinocelular este capabil de a se infiltra local, de a se extinde la nodulii limfatici regionali si de a determina metastaze la distanta, mai ales in plamini.Cauza principala este expunerea cumulativa la soare de-a lungul vietii.
Alte cauze cuprind:
- expunerea terapeutica la ultraviolete - terapia cu psoralen si ultraviolete
- persoanele cu tip de piele I si II
- radiatia ionizanta
carcinogenii chimici (expunerea cronica la gudroane, arsenic, azbest, apa grea, ierburi chinezesti) - afectiuni genetice - xeroderma pigmentosum (deficienta in repararea AND-ului)
- imunosupresia iatrogena (transplantul de organe) sau neiatrogena (infectia HIV)
- modificari cronice degenerative si inflamatorii ale pielii (cicatrici dupa arsuri, radiodermita cronica, ulcere cronice, lichen eroziv, epidermoliza buloasa distrofica)
fumatul, alcoolul predispun la carcinoame ale mucoaselor bucala, laringiana, esofagiana
Conditiile patologice care predispun la dezvoltarea carcinomului spinocelular:
- arsurile, ulcer venos, limfedem, lupus eritematos discoid
- lichen plan oral eroziv, keratodermie mutilanta, necrobioza lipoidica
- osteomielita, acneea conglobata, hidroadenita supurativa
- celulita disecanta a scalpului, lupus vulgaris, limfogranulomul venerian,
- granulom inghinal, infectiile fungice profunde cronice
- albinism oculocutanat, xeroderma pigmentosum, diskeratoza congenitala
- porokeratoza, nevul sebaceu, sindromul KID.
Factorii de risc generali asociati cu dezvoltarea carcinomului spinocelular cuprind:
- virsta peste 50 de ani, sexul masculin
-
indivizi cu fototipurile de piele I si II: piele alba, parul blond, ochii albastrii, verzi sau gri, se ard usor la soare
- zonele din apropierea Ecuatorului, istoric de cancer de piele nonmelanozic anterior
Semne si simptome
Virsta medie de prezentare este de 70 de ani, totusi aceasta variaza, iar in anumite grupuri de risc inalt carcinomul spinocelular se poate manifesta la virste tinere. Carcinomul spinocelular tipic se manifesta printr-o leziune noua pe piele sau largirea unei leziuni preexistente care ingrijoreaza pacientul. Este un neoplasm cu crestere lenta, dar unele leziuni se pot mari rapid. Desi majoritatea pacientilor sunt asimptomatici, simptome precum singerare, descuamare, durere sau sensibilitate se pot nota, mai ales la tumorile mari. Paresteziile, slabiciunea musculara si tremorul indica afectare perineurala.Carcinomul spinocelular derivat din leziunile actinice (indus de soare) este cel mai frecvent tip. Se noteaza adesea un istoric de expunere la soare in copilarie. Multi pacienti raporteaza arsuri solare multiple, iar altii terapie cu psoralen si ultraviolete A sau bronzat artificial la solar.
Imunosupresia
Pacientii trebuie intrebati despre posibilele surse de imunosupresie. Se noteaza istoricul de transplant de organ solid, neoplasmele hematologice (leucemie limfocitica cronica), infectie HIV, terapie imunosupresiva pe termen lung.
Ulcerul Marjolin
Se refera la carcinomul spinocelular care apare in ulceratiile cronice cum ar fi cicatrici post arsura sau tracturi sinuoase. Pacientii pot raporta modificari
la locul unei cicatrici sau leziuni preexistente (indurare, elevare, ulcerare). Perioada de latenta este de 20-30 de ani. Diagnosticul trebuie luat in considerare la orice ulcer care nu se vindeca cu terapie.
Carcinomul spinocelular asociat HIV
Carcinomul spinocelular indus viral se manifesta printr-o veruca noua sau care se largeste pe penis, vulva sau zona perianala, regiunea periunghiala. Pacientii se prezinta cu istoric de veruci refractare la tratament.
Examen fizic
Carcinomul spinocelular se poate manifesta printr-o varietate de morfologii cu sau fara simptome asociate.Carcinomul spinocelular in situ
Este definit histologic prin atipie implicind toata grosimea epidermului, dar fara invazia dermului. Clinic leziunile variaza de la o pata roz, cu scuame, pina la o papula keratozica fina sau placa similara keratozei actinice. Boala Bowen este un subtip al carcinomului spinocelular in situ caracterizata prin aparitia unei placi roz bine demarcate pe pielea ne-expusa la soare. Eritroplazia lui Queyart se refera la boala Bowen a penisului care se manifesta prin una sau mai multe placi roz catifelate.
Carcinomul spinocelular celular tipic
Carcinomul spinocelular invaziv este o papula sau placa roz, keratozica, ferma, ridicata aparuta pe pielea expusa la soare. Aproximativ 70% dintre toate cazurile de carcinom spinocelular apar pe cap si git, cu 15% pe extremitatile superioare. Modificarile suprafetei includ descuamarea, ulcerarea, crustificarea sau prezenta unui corn cutanat. Mai rar carcinomul spinocelular se manifesta ca un nodul cutanat roz fara modificari de suprafata. Absenta modificarilor de suprafata trebuie sa ridice suspiciunea unei metastaze de la o alta localizare cutanata sau noncutanata sau a unei tumori si mai letale, carcinomul celular Merkel. Se mai noteaza alterari solare ale pielii: elastoza solara, depigmentarea, teleangiectaziile, keratoze actinice multiple.
Carcinomul spinocelular periunghial
Acesta mimeaza tipic o veruca si este frecvent diagnosticat gresit ani intregi ca o veruca. Mai rar leziunile pot arata paronichie cronica cu tumefiere, eritem si sensibilitatea unghiei, onicodistrofie.
Carcinomul spinocelular perioral
Carcinomul spinocelular celular al buzei apare pe marginea cutanata a buzei inferioare. Este precedat de o leziune precursoare, cheilita actinica care se manifesta ca o xeroza, cu fisurare, atrofie si depigmentare. Cheilita actinica este analogul keratozei actinice a pielii. Carcinomul spinocelular al buzei se manifesta ca o papula, eroziune sau eritem si indurare locala. Carcinomul intraoral se manifesta ca o placa alba - leucoplakie cu sau fara reticulare rosie - eritroplakie. Localizarile comune includ planseul anterior al gurii, limba lateral si vestibulul bucal.
Carcinomul spinocelular anogenital
Carcinomul spinocelular din regiunea anogenitala se manifesta ca o placa umeda, rosie, pe glandul penisului, leziuni indurate sau ulcerate pe vulva, anus extern sau scrot. Simptomele asociate includ durere, prurit, singerare intermitenta.
Carcinomul verucos
Este un subtip al carcinomului spinocelular care poate fi local distructiv, dar metastazeaza rar. Leziunile apar ca noduli sau placi, exofitice, verucoase, conopidiforme.
Carcinomul verucos este denumit in functie de localizare:
- tumora Buscke-Lowenstein in regiunea anogenitala,
- papilomatoza florida orala in cavitatea bucala
- epitelioma cuniculatum - plantar
Limfadenopatia
In cadrul carcinomului invaziv nodulii limfatici regionali se maresc. Pentru certificarea metastazarii ganglionare este necesara biopsia limfatica sau aspiratia pe ac fin.
Tumorile scuamoase cu risc inalt (evolutie rapida, risc crescut de recurenta locala si metastazare) au urmatoarele caracteristici:
- localizarea pe buze, ureche sau regiunea anogenitala
- ulcerul Marjolin
- leziunile de dimensiuni mari in momentul diagnosticului (peste 2 cm in diametru sunt asociate cu metastazare de 30)
- profunzimea crescuta a invaziei (tumora sub 2 mm profunzime metastazeaza rar, peste 2-4 mm metastazeaza si are o recurenta de 7%, iar peste 6 mm de 16%)
- tumorile slab diferentiate (recurenta 54%)
- rata totala de recurenta tumorala dupa extractive este de 10-23%
- invazia perineurala (implicarea ramurilor nervoase majore apare la 2,4%, poarta un risc ridicat de recurenta, metastazare si deces).
Diagnostic
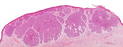
Diagnosticul este in primul rand clinic, dar trebuie sustinut prin examenul histopatologic al unui fragment din leziunea suspecta (sau al intregii leziuni daca are dimensiuni mici). Daca exista limfadenopatie se indica biopsia prin ac fin sau excizie urmata de examenul histoatologic.Examen histologic
Carcinomul spinocelular in situ se caracterizeaza prin keratinocite atipice intraepidermice cu proliferare. Se observa in epiderm hiperkeratoza, acantoza, parakeratoza confluenta. Keratinocitele au aspect clasic dezordonat ca fiind suflate de vint. Atipia celulara, nucleii hipercromatici si mitozele sunt predominante. Keratinocitele atipice pot fi gasite in stratul bazal si se extind pina la foliculii de par, dar nu invadeaza dermul.Caracteristica principala care diferentiaza carcinomul invaziv de cel in situ este invazia keratinocitelor maligne prin membrane bazala in derm. Variantele de carcinom spinocelular cuprind: keratoacantomul, carcinomul acantolitic, carcinomul verucos si carcinomul sarcomatoid.
Stadializarea TNM a carcinomului spinocelular
Tumora primara- Tx - tumora primara nu poate fi evaluata
- To - nu exista evidenta a tumorii primare
- Tis - carcinom in situ
- T1 - tumora sub 2 cm in diametru
- T2 - tumora 2-5 cm diametru
- T3 - tumora peste 5 cm diametru
- T4 - tumora cu invazie in cartilaj, muschi sau os.
- NX - Nodulii limfatici regionali nu pot fi evaluati
- N0 - Nodulii limfatici regionali nu sunt afectati de metastaze
- N1 - Exista o singura metastaza ganglionara ipsilaterala cu dimensiuni ≤3 cm
- N2a - Exista o singura metastaza ganglionara ipsilaterala cu dimensiuni >3 cm, dar ≤6 cm
- N2b - Metastaze multiple ganglionare ipsilaterale cu dimensiuni ≤6
- N2c - Metastaze ganglionare bilaterale sau controlaterale ≤6 cm
- N3 - Metastaze ganglionare >6 cm
- MX - Metastazele la distanta nu pot fi evaluate
- M0 - Nu exista metastaze la distanta
- M1 - Metastaze la distanta
Sistemul de clasificare TNM al carcinomului spinocelular cutanat
| Stadiul | Tumora primar | Gangliono limfatici regionali | Metastaza la distanta |
| stadiul 0 | Tis | N 0 | M0 |
| stadiul I | T1 | N0 | M0 |
|
stadiul II |
T2 | N0 | M0 |
| stadiul III | T3 | N0 | M0 |
| T1-3 | N1 | M0 | |
| stadiul IV | T4 | N0 | M0 |
| Oricare T | N 2-3 | M0 | |
| Oricate T | Oricare NM | M1 |
Diagnosticul diferential se face cu urmatoarele afectiuni: keratoza actinica, fibroxantomul atipic, carcinomul bazal celular, keratoacantomul, pioderma gangrenosum, veruci.
Tratament
Optiunile nechirurgicale de tratament pentru carcinomul spinocelular includ chimioterapia topica, modulatorii raspunsului imun topici, terapia fotodinamica, radioterapia si chimioterapia sistemica. Folosirea terapiei topice si a fototerapiei este limitata la leziunile in situ premaligne: keratoza actinica. Terapia de iradiere este o optiune de tratament primar pentru pacientii la care chirurgia nu este posibila si terapie adjuvanta pentru cei cu metastaze.Chimioterapia topica
Formulele topice de 5-fluorouracil sunt disponibile pentru tratamentul keratozei actinice si a altor forme de carcinom spinocelular in situ.Modulatorii de raspuns imun topici
Imiquimod este un imidazoquinolin care potenteaza raspunsul imun prin inducerea citokinelor proinflamatorii. Este aprobat pentru tratamentul verucilor genitale, keratozelor actinice si carcinomului bazal superficial. Crema cu imiquimod s-a arata eficienta in terapia bolii Bowen in combinatie cu 5-fluorouracil. Totusi, aplicata pe suprafete mari, poate prezenta efecte adverse (gripa).Terapia fotodinamica
Tratamentul cu terapie fotodinamica implica aplicarea unui fotosensibilizant urmat de expunerea la o sursa de lumina. Reactia fotochimica rezultata determina inflamatie si distrugerea leziunii tintite. Este utilizata mai ales pentru keratozele actinice multiple. Nu este recomandata pentru carcinomul spinocelular invaziv.Radioterapia
Radioterapia ca terapie primara este rezervata pacientilor la care nu se poate practica excizia chirurgicala (tumora de dimensiuni foarte mari, nerezecabila sau riscuri operatorii ridicate). Mai frecvent radioterapia este folosita ca tratament adjuvant chirurgiei pentru imbunatatirea controlului locoregional (in caz de metastaze limfatice, la tumori care prezinta invazie perineurala sau alte trasaturi de risc crescut).Radioterapia ofera avantajul de a evita deformitatea si trauma printr-o procedura chirurgicala. Totusi exista si citeva dezavantaje: este scumpa, necesita un timp prelungit, prezinta iritarea locului iradiat, eritem, eroziuni, alopecie si durere care necesita analgezie narcotica. Desi rezultatul cosmetic initial este bun, evolutia pe termen lung este nefasta, cu cresterea riscului de a dezvolta carcinoame cutanate sau sarcom tardiv. Radioterapia nu implica o margine de control histologic si are o rata de vindecare mica fata de chirurgie.
Chimioterapia sistemica
Este utilizata in tratamentul carcinomului spinocelular cu metastaze la distanta la recomandarea si supravegherea specialistului oncolog. Desi multe chimioterapice au un rol stabilit in tratamentul carcinoamelor spinocelulare ale mucoaselor capului si gatului, exista putine studii privind utilizarea lor in carcinoamele spinocelulare cutanate. Printre cei mai frecvenit agenti chimioterapici folositi in carcinoamele spinocelulare cutanate se numara: cisplatin, carboplatin, 5-florouracilul si taxanes. Mai recent cetuximab (anticorp monoclonal chimeric care inhiba receptorii factorului de crestere epidermala) s-a dovedit a fi eficient. Capecitabina, o forma orala a 5-fluorouracil in combinatie cu interferon alfa, a aratat eficacitate in terapia formelor cutanate avansate.Terapia chirurgicala
Cele mai multe carcinoame scuamoase sunt tratate prin metode chirurgicale sau destructive.Crioterapia
Tehnica cu nitrogen lichid este sigura si ieftina pentru ablatia carcinomului spinocelular in situ. Rata de vindecare la 5 ani este de 95%. Criochirurgia este folosita de rutina in keratozele actinice. Nu este folosita pentru formele invazive din cauza proportiilor profunde ale tumorii care nu poate fi eradicata. Riscurile asociate includ durere tranzitorie, edeme, veziculizare. Hipopigmentarea si alopecia sunt de asemenea comune si pot fi permanente.Electrodesicarea si chiuretajul
Reprezinta tehnici simple care pot fi folosite pentru a trata carcinoamele spinocelulare cu risc scazut ale trunchiului si extremitatilor. Pot fi folosite si la tratarea carcinoamelor invazive superficiale cu risc ridicat. Nu sunt indicate pentru localizarea pe pleoape, zona genitala, buze si urechi. Sunt bazate pe delimitarea marginilor tumorii cu o chiureta. Dezavantajul major este lipsa marginilor de control. Recurenta tumorala apare prin lipsa eradicarii celulelor tumorale din derm si foliculii de par.Excizia cu margini conventionale
Excizia standard cu sectiune tisulara permanenta este o terapie excelenta, bine tolerata pentru carcinomul spinocelular primitiv. Rata de vindecare pentru leziunile T1 este de 99%, aceasta scazand la 77% pentru carcinoamele recurente. Se recomanda o margine de tesut de 4 mm pentru leziunile cu risc scazut pe trunchi si extremitati. Pentru leziunile de peste 2 cm, invazive in grosime si localizate in zone de risc crescut (fata, urechi, scalp, genital, miini, talpi) se indica o margine de 6 mm in tesut normal. Din cauza rezultatului cosmetic si a impactului functional al acestor margini largi, tumorile din aceste categorii sunt inlaturate prin microchirurgie Mohs.Chirurgia micrografica Mohs
Aceasta procedura este practicata in centre dotate cu aparatura speciala, de catre dermatologi specializati si presupune indepartarea tumorii strat dupa strat si examinarea la microscop a fragmentelor excizate pana la obtinerea de tegument sanatos, fara celule maligne. Riscul de recidiva dupa aceasta metoda este cel mai mic fata de toate celelalte procedee terapeutice. Este procedura de electie in special a tumorilor cu dimensiuni mai mari de 2 cm, a celor localizate la nivelul fetei, pe mucoase sau in zona genitala sau a celor recidivante, avand ca avantaj major posibilitatea de conservare maxima a tesutului sanatos din jurul leziunii si diagnosticul precis al intinderii celulelor tumorale in tesut.Profilaxie
Preventia carcinoamelor scuamoase este cel mai bine indeplinita prin limitarea expunerii la ultraviolete, purtarea de haine de protectie, folosirea de creme de protectie solara.Atentie la medicatia fotosensibilizanta – unele antihipertensive, antibiotice, medicamente hipocolesterolemiante, antidiabetice si isotretinoinul, un medicament frecvent utilizat ca antiacneic. Pacientii care utilizeaza aceste medicamente trebuie atentionati sa evite expunerea la soare.
Dieta bogata in vitamine si antioxidanti poate scadea riscul de a dezvolta anumite tipuri de tumori cutanate.
Autoexaminarea periodica si vizita la medicul specialist ajuta la diagnosticul precoce si la scaderea riscului de complicatii asociate acestui tip de tumora cutanata.
Tratamentul keratozei actinice si carcinomului spinocelular in situ pot preveni dezvoltarea ulterioara a carcinomului invaziv. Chimioprotectia cu retinoizi sistemici este eficienta, reducand numarul de carcinoame spinocelulare noi, dar este rezervata doar pacientilor imunocompromisi (cei cu transplant de organe, infectie HIV avansata, xeroderma pigmentosum). Studiile recente arata ca utilizarea orala de acitretin este mai eficienta decit administrarea de tretinoin. Tratamentul trebuie folosit indefinit deoarece recurenta tumorilor apare la intreruperea profilaxiei.
Prognostic
Cele mai multe carcinoame spinocelulare dianosticate precoce si tratate au o speranta ridicata de vindecare. Riscul de metastaze limfatice sau la distanta este de 2-6%. Un subset de purtatori de carcinoame prezinta risc crescut de recurenta locala, metastaze limfatice sau la distanta (plamini) si deces. Carcinomul spinocelular metastazeaza dupa cativa ani de evolutie locala (in situatia prezentarii tardive la medic) si implica primii noduli de drenaj. In general metastazele carcinomului fruntii, timplelor, pleoapelor, obrajilor si urechii apar in limfaticele parotidiene, iar metastazele de la buza si periorale apar submental si submaxilar. Odata ce metastazele au aparut, rata de supravietuire la 5 ani este de 35%. Prognosticul este negativ pentru statusul imunocompromis, cu metastaze multiple limfatice sau cu noduli limfatici cervicali peste 3 cm.- Cancer de piele
- Biobran si SOD in tratarea cancerului
- Menopauza indusa chirugical dupa cancer
- Masa tumorala cu semnal tisular (izosemnal T1, T2 cu structurile musculare din jur)
- Tatal meu mai are sanse de viata?
- Cancer de piele! (Carcinom bazocelular)
- Carcinom epidermoid spinocelular cheratinizant invaziv G1
- Pentru orice tip de cancer va recomand tinctura milena(ciuperca lui Dumnezeu)
- Cancerul pielii
- Tumora bolta palatina- carcinom scuamocelular